rss

Здоровье

Генетики объединятся с российскими силовыми структурами

  • Опубликовано
Как передает Интерфакс, МВД РФ собирается расширить круг лиц, подлежащих обязательной геномный регистрации, включив в него не только лиц, совершивших уголовные преступления, но и тех, кто подвергся административному аресту. Комментирует начальник Центра...
Москве и Петербургу угрожают устойчивые к антибиотикам микробы

  • Опубликовано
Бактерии также поразили 13 крупных городов России. Три самых опасных микроба из списка, опубликованного Всемирной организацией здравоохранения (ВОЗ), были обнаружены российскими учеными из Санкт-Петербурга на территории нашей страны. Сейчас эти бактерии,...
Голодание на воде: советы и рекомендации

  • Опубликовано
Существуют разные виды голодания, но все они отличаются сроками отказа от пищи и другими факторами. Есть «сухое» голодание и голодание на воде. О последнем методе поговорим более подробно.Многие люди не могут сразу отказываться от еды и питья, и в этом...
Здоровые зубы, пища для зубов

  • Опубликовано
Чтобы меньше обращаться к услугам стоматолога, недостаточно будет лишь принимать витамины, и чистить зубы, необходимо также правильное питание. Также сбалансированный рацион поможет зубам поддержать хороший вид.Зубы – индикатор здоровья внутренних органов....
Успеть до весны: 10 процедур красоты

  • Опубликовано
Холодное время года – это отличная возможность проявить повышенную заботу, подарить коже здоровый внешний вид, упругость, гладкость и ровность. Очень многие специалисты советуют реанимировать кожный покров именно в зимний период. К тому же есть ряд...
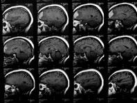
Сканирование мозга поможет определить вероятность развития наркомании у подростков

  • Опубликовано
Известно, что дети, набирающие высокие баллы в тестах на поиск новизны, склонны к злоупотреблению наркотиками. Ученые из Стэнфордского университета и Университетского медицинского центра Гамбург-Эппендорф утверждают: новый тест позволяет оценить риск...
Отношения отца с наркотиками - ключевой фактор развития его детей

  • Опубликовано
Отцы не просто передают свои гены сыновьям. Исследования показали: их привычки производят мощный эффект на здоровье детей. Как было установлено Кристофером Пирсом, профессором Университета Пенсильвании, если на момент зачатия отец употреблял кокаин, то...
Реальная перспектива: не пропустил машину скорой - лишился прав

  • Опубликовано
Вероника Скворцова, министр здравоохранения РФ, рассказала о новом законопроекте. Документ подразумевает жесткое наказание для водителей, не пропускающих машины скорой помощи. Чиновники хотят за это лишать прав, передает Интерфакс. Это будет фактически...
Кардиологи возьмут на вооружение уникальные наночастицы с лекарствами

  • Опубликовано
Особые наночастицы для лечения и диагностики ишемической болезни сердца - это прорыв российских ученых. Как отмечает Российская газета, ишемическая болезнь и ее формы являются одной из основных причиной смерти во многих странах мира. Терапия сопряжена...
Российские ученые придумали, как получить искусственные сосуды

  • Опубликовано
Исследователи из Новосибирска представили результаты своей работы - уникальную технологию для лиц с заболеваниями сосудов. Как передает Российская газета, технология поможет также сократить риски послеоперационных осложнений. Новосибирский государственный...
567 / 1446

Читайте также


Мультимедиа