rss

Здоровье

6 рецептов для омоложения и улучшения цвета лица

  • Опубликовано
Но с возрастом коже лица требуется более тщательный и продуманный уход. Полностью избежать морщин невозможно, а вот замедлить процесс их появления нам вполне по силам. Помогут в этом натуральные средства для омоложения, улучшения цвета лица и смягчения...
Как избавиться от черных точек

  • Опубликовано
Каждая мечтает о безупречном лице, но высыпания стоят на пути к этой мечте. Как избавиться от черных точек, подскажут специалисты.Черные точки (или комедоны) появляются на коже из-за закупорки протоков сальных желез. Кожное сало не может беспрепятственно...
Диета гейш: как худеют восточные женщины

  • Опубликовано
Диета гейш приобретает большую популярность и имеет уже достаточно много вариаций. Конечно, в каждом рационе основа питания – рис. Кроме риса диета гейш не запрещает употребление молока и зеленого чая. Но это все. Есть еще один вариант диеты гейш, который...
7 полезных свойств щавеля

  • Опубликовано
Щавель — одно из самых полезных растений весны. И вот почему.Высокое содержание витаминовЩавель содержит рекордно высокие дозы витаминов В и С, а потому способен лечить авитаминоз, анемию, предупреждать простудные заболевания и улучшать работу мозга.БелокВ...
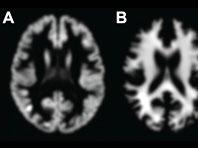
Новый метод поможет определить риск преждевременной смерти

  • Опубликовано
Ученые из Имперского колледжа Лондона использовали МРТ и машинное обучение. Специалисты научили компьютер вычислять возраст мозга людей по объему их мозговой ткани. Потом исследователи оценивали, соответствовал ли реальный возраст людей возрасту их мозга,...
Ученые приблизились к победе над болезнью Паркинсона

  • Опубликовано
На сегодняшний день лекарства от болезни Паркинсона не существует. Но, возможно, скоро все изменится. Команда специалистов обнаружила, что кортизол (гормон стресса) способен вылечить болезнь Паркинсона. Также ученые выяснили, как именно гормон стресса...
Плацебо помогает пережить разрыв с партнером, доказал эксперимент

  • Опубликовано
Давно известно, что плацебо может облегчить боль, симптомы болезни Паркинсона и других заболеваний. Оказывается, оно способно справиться и с эмоциональными переживаниями, вызванными расставанием со второй половиной. Это обнаружили сотрудники Университета...
Вода натощак: какую воду нужно пить

  • Опубликовано
Какую воду лучше пить: сырую или очищенную? И можно ли обезопасить себя от некачественной воды?Какую воду лучше пить: кипяченую или сырую? Этот вопрос, как никогда, актуален для каждого из нас независимо от места проживания, будь это большой город или...
Что делать, если укусил клещ?

  • Опубликовано
Еще 15 лет назад их было не так много. Причиной увеличения их числа стали климатические изменения, а также употребление средств от насекомых, которые уничтожили их естественных врагов. Нападению клещей мы подвержены не только в лесу, но и в городе. Они...
Зачем нужна фолиевая кислота женщинам

  • Опубликовано
Давай разберемся, зачем она нам нужна, и как правильно ее принимать.Фолиевая кислота поступает в организм с пищей, а также ее вырабатывает микрофлора кишечника. Однако женщинам время от времени необходимо пополнять ее запасы, используя уже готовые препараты.Зачем...
512 / 1446

Читайте также


Мультимедиа