rss

Здоровье

Как сделать волосы идеально гладкими: советы

  • Опубликовано
1. Пользуйтесь разглаживающим шампунем и кондиционеромПроясним ситуацию: ни один шампунь или кондиционер не в силах выпрямить вьющиеся от природы волосы. Однако продукты с пометкой «разглаживающий» действительно творят чудеса, увлажняя пряди и выравнивая...
Биологи, изучавшие опасные бактерии, озвучили правила поведения на кухне

  • Опубликовано
Нож и терка - одни из самых активных разносчиков бактерий на кухне. Специалисты настоятельно рекомендуют мыть данные предметы, если вы нарезаете разные продукты за один раз, передает NDTV. Бактерии могут попасть не только на другие продукты, но и распространиться...
Ванильный йогурт помогает улучшить настроение, показал эксперимент

  • Опубликовано
Ванильный йогурт с пониженным содержанием жира - идеальный продукт. Как установили эксперты Университета Вагенингена, он не только полезен для пищеварения, но и провоцирует мощный позитивный эмоциональный ответ, пишет IBN Live. Ученые выяснили: оценивая...
Вакцина, работающая лучше статинов, представлена на суд общественности

  • Опубликовано
Университет Нью-Мексико и Национальные институты здравоохранения США создали вакцину, снижающую уровень вредного холестерина, по крайней мере, у мышей и макак. Как передает Business Standard, вакцина может стать более мощным средством, чем статины. Известно:...
Специалисты рассказали, почему так важно ходить на обеденный перерыв

  • Опубликовано
Сильная загруженность на работе заставляет многих людей отказываться от обеденного перерыва. Так, менее 20% регулярно ходят на обед, а прямо на рабочем месте обедают 39%, пишет The National Post. Между тем, по словам ученых, перерыв критически важен....
Всего одного курса антибиотиков достаточно, чтобы нарушить микрофлору на год вперед

  • Опубликовано
А это потенциально может привести к развитию лекарственной устойчивости, передает Medical News Today. Ученые исследовали микрофлору 66 здоровых британцев и шведов. Людям выписывали разные антибиотики, по одному курсу (ципрофлоксацин, клиндамицин, амоксициллин,...
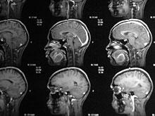
Ультразвук сможет избавить от самых опасных опухолей и болезней мозга

  • Опубликовано
Канадские ученые смогли впервые в истории преодолеть гематоэнцефалический барьер, отделяющий мозг, с помощью ультразвука, передает CTV News. Это может стать уникальным неинвазивным методом доставки лекарств прямо в мозг для лечения опухолей, болезней...
Масляные ванны: красота и здоровье кожи

  • Опубликовано
После них не обязательно смазывать кожу кремом. Помимо положительного влияния на кожу, эти ванны оказывают ароматерапевтическое действие на организм.1. Потребуется 20 мл касторового масла, 5 мл хвойного пихтового эфирного масла. Смешать масла и влить...
Психологи научились предсказывать будущее романтических отношений

  • Опубликовано
Специалисты из Университета Иллинойса в течение 9 месяцев следили за 376 парами. Участники не состояли в браке. Исследователи выделили 4 модели отношений, по которым можно было предсказать, поженятся или расстанутся партнеры. Ученые наблюдали, как менялось...
Самые полезные специи для здоровья

  • Опубликовано
В наше время этот продукт доступен любому человеку. Зная о полезных качествах специй, диетологи рекомендуют активно включать их в свой рацион питания.Острый перец. Капсаицин - вещество, содержащееся в перце, обладает обезболивающим эффектом и участвует...
935 / 1446

Читайте также


Мультимедиа