rss

Здоровье

От больничных инфекций в Германии умирают тысячи людей

  • Опубликовано
Подхватить тяжелое заболевание во время лечения - отнюдь не невезение, а трагическая закономерность. Ежегодно в Германии регистрируют более 500 тысяч внутрибольничных инфекций. Так называют болезни, которые проявляются примерно на третий день пребывания...
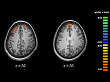
Специалисты пролили свет на роль генетики в развитии шизофрении

  • Опубликовано
Университет Калифорнии обнаружил десятки генов и два биологических пути, которые могут повлиять на риск развития шизофрении. a href=http://www.upi.com/Health_News/2016/10/20/Scientists-discover-new-genetic-roots-of-schizophrenia/4391476966861>UPI.com...
У афроамериканцев выявлен более сильный иммунитет, устойчивый к инфекциям

  • Опубликовано
Ученые выяснили, что клетки афроамериканцев способны формировать более сильный иммунитет против инфекции, чем клетки европейцев. Исследователи считают, что данное открытие можно использовать для лечения различных заболеваний.  Старший научный сотрудник...
Эксперты рассказали, как улучшить запоминание информации

  • Опубликовано
Если после заучивания информации выйти на пробежку, информация лучше отложится в памяти, показало исследование Университета прикладных наук. Это полезное открытие для студентов, пишет India Today. Итак, известно, что стрессовый гормон кортизол влияет...
Помогает ли сало похудеть: польза продукта

  • Опубликовано
Мы расскажем, помогает ли сало похудеть. Сало для похуденияБольшой энергетический запасСмысл похудения на сале в том, что в рационе человека должен быть сытный продукт, который обеспечит его энергией и силой на весь день. Мясо и сало быстро насыщают...
Исследователи превратили смартфон в настоящую лабораторию

  • Опубликовано
Сотрудники Университета Вашингтона создали быструю, портативную диагностическую систему на базе смартфонов, передает The Hindu. Данная система, анализируя несколько образцов за раз, способна выявить биомаркеры рака. Это настоящая мобильная лаборатория,...
Спорта в умеренных количествах достаточно, чтобы избежать сердечного приступа

  • Опубликовано
Существует надежда на то, что исследователям, рано или поздно, удастся отыскать лекарства от всех существующих болезней. Тем не менее, практика показывает, что для улучшения здоровья очень полезно заниматься спортом. И совершенно необязательно подвергать...
Twitter показал самые популярные напитки и блюда среди пользователей

  • Опубликовано
Фотографии еды - один из самых популярных в соцсетях контент. Специалисты Университета Юты выяснили, что соцсети могут сказать о состоянии здоровья людей, пишет NBC News. К примеру, если на Facebook и Instagram фотографиями еды обмениваются довольно часто,...
Продукты, которые обладают обезболивающими свойствами

  • Опубликовано
Лучшие продукты с обезболивающими свойствамиКак вы понимаете, продукты не могут избавить вас от сильных болей, связанных с каким-нибудь заболеванием. Однако легкие боли, такие как головная, боль в суставах на погоду, спазмы во время менструального цикла...
5 лучших способов омоложения лица

  • Опубликовано
Если отменить процесс старения невозможно, то избежать проявления возрастных признаков современной косметологии удается легко. После этих процедур ты будешь выглядеть молодо и свежо.БиоревитализацияИзвестно, что за водный баланс отвечает гиалуроновая...
676 / 1446

Читайте также


Мультимедиа