rss

Здоровье

Отечественные вирусологи хотят совершить революцию с новыми вакцинами против гриппа

  • Опубликовано
Российские ученые активно занимаются разработкой и тестированием новых вакцин против гриппа. Как передает Ремедиум, в следующем году в НИИ гриппа должны пройти клинические испытания двух вакцин нового поколения. Рассказывает заместитель директора по на 1000 учной...
Российские ученые узнали, как защитить мозг при инсульте

  • Опубликовано
Сотрудники Южного федерального университета обнаружили в мозге грызунов несколько белков, потенциально способных защищать нервные клетки и ограничивать повреждение мозга после инсульта, сообщает РИА Новости. Известно, что при инсульте прекращается снабжение...
У употребления конопли выявили неожиданный побочный эффект

  • Опубликовано
Медики из США и Нидерландов рассказывают о случае спонтанного женского оргазма как побочного эффекта от употребления конопли, передает Lenta.RU. Изначально у пациентки был диагностирован синдром беспокойных гениталий (ReGS), характеризуемый аномальным...
Как ухаживать за телом после 40 лет?

  • Опубликовано
Проблема лишних сантиметров, особенно в области бедер и ягодиц, после 40 лет начинает докучать даже самым примерным отличницам.Есть определенным план, которому нусжно следовать для развития идеального тела.Спортивный режимКоличество кардиотренировок должно возрасти...
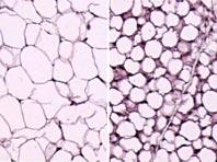
Ученые: тело можно заставить сжигать собственные жировые отложения

  • Опубликовано
Ученые Медицинской школы Вашингтонского университета продолжают поиски средств борьбы с ожирением. К примеру, недавно американские ученые поняли, как белые жировые отложения (запасают энергию) превратить в коричневый жир (сжигает запасы с выделением тепла),...
Лицо человека показывает, может ли он изменить партнеру

  • Опубликовано
Психологи Университета Ниписсинга уверены: по лицу человека можно понять, склонен ли он к измене. Как передает Росбалт, обладатели короткого и широкого лица чаще остальных нарушают клятву верности. Было проведено два исследования, призванных показать...
У мужчин секс и агрессия всегда связаны, доказали неврологи

  • Опубликовано
Коллектив ученых из США, Японии и Южной Кореи доказал, что сексуальная активность является одной из причин мужской агрессии. Выяснилось: одна и та же область мозга у самцов многих видов, включая человека, активируется и при спаривании, и при внутривидовых...
ТОП-5 бьюти-применений соды для красоты

  • Опубликовано
Мы расскажем о способах ее применения в уходе за собой.Итак, существует несколько вариантов использования соды в бьюти-отраслях.Читай также:Маски для волос своими руками: лучшие рецепты1. ШампуньСоды в качестве шампуня отлично промывает волосы и кожу...
Генетическая предрасположенность - плохое оправдание для преступников

  • Опубликовано
Оправдать преступников в суде все чаще пытаются, ссылаясь на генетическую предрасположенность. Исследователи из Колумбийского и Калифорнийского университетов говорят: это не лучшая стратегия. Исследования показали, что существуют связи между определенными...
Неправильное питание - одна из основных причин смерти в мире

  • Опубликовано
Исследователи из Университета Вашингтона утверждают: каждая пятая смерть в мире связана с неправильным питанием. Жители бедных районов умирают из-за недостатка продуктов питания, а более обеспеченных людей убивает любовь к вредной пище. По словам ученых,...
409 / 1446

Читайте также


Мультимедиа